Compartimos algunos de los casos clínicos dentales realizados en Clínical Dental Muro
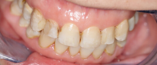
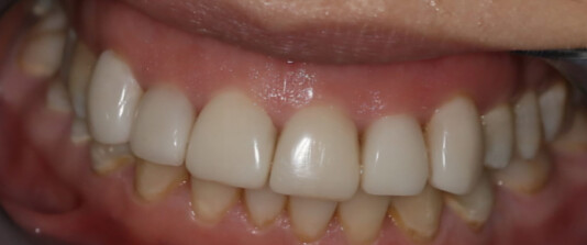
Caso Clínico de carillas de composite
Las carillas dentales de composite son unas finas láminas del citado material que sirven para mejorar la apariencia de los dientes
Caso Clínico 1




Caso Clínico 2


Caso Clínico 3


Caso Clínico 4



Caso Clínico 5




Caso Clínico de cerrado de diastemas con composite



Caso Clínico de puente de e-max
Se trata de una cerámica innovadora que aporta unos resultados estéticos realmente satisfactorios, y que brinda una fortaleza y resistencia de hasta tres veces superior a otro tipo de materiales.
El objetivo es que el paciente quede satisfecho con su aspecto estético final.



Caso Clínico de Blanqueamiento Dental
Los tratamientos destinados a la Odontología Estética dan solución a problemas relacionados con la salud bucal y la armonía estética de la boca en su totalidad. Muchos son sencillos, indoloros y se pueden realizar en una o dos sesiones, y se observan cambios visibles en muy poco tiempo.


Caso Clínico de Implantes Inmediatos
Los implantes inmediatos son aquellos que se colocan en el mismo momento en el que se realiza la extracción del diente que se planifica sustituir.
Gracias a este avanzado tratamiento dental conseguimos reducir los tiempos quirúrgicos y, así, poder ofrecer una mayor comodidad y estética.
Recupera tu calidad de vida en solo unas horas.




Caso Clínico de agenesias de molares y gran diastema
La agenesia dental es la ausencia de un diente, generalmente un incisivo o un premolar, porque nunca ha llegado a desarrollarse ni nacer. Conocemos como diastemas al espacio que separa dos dientes adyacentes, es decir, cuando dos dientes no contactan entre sí.





Caso Clínico de blanqueamiento en un diente endodonciado
En Clínica Dental Muro, realizamos de manera habitual, blanqueamientos dentales internos sobre dientes que se han sometido previamente a un tratamiento de endodoncia.


